Centre de Santé Dentaire
Action Dentaire 71
1 avenue Jean Monnet, 71200 LE CREUSOT
+33 3 85 55 65 32
Centre de Santé Dentaire
Action Dentaire 71

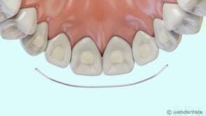
Fil de contention


video-play-icon

Articles similaires

Création par Webdentiste

Connexion